Магнитно-резонансная томография с гепатоспецифическим контрастом Primovist™ (gadoxetic acid, P-MRI) демонстрирует значительно более высокую точность в выявлении метастазов печени по сравнению с КТ и стандартным МРТ. Особенно это важно для пациентов с колоректальным раком, у которых печень является частым «мишенью» для метастазирования.
Чем МРТ печени с Примовист® отличается от стандартного МРТ печени?
| Параметр |
Стандартное МРТ печени (с обычным контрастом) |
МРТ печени с Примовист® |
|---|---|---|
| Чувствительность | Хорошая, но может не выявить мелкие очаги | Очень высокая, обнаруживает образования от 2-3 мм |
| Дифференцировка опухолей | Часто затруднена (например, отличить опухоль от кисты или гемангиомы) | Чёткое разделение между злокачественными и доброкачественными образованиями |
| Оценка функции печени | Нет возможности | Да, оценивается работа гепатоцитов и желчных путей |
| Гепатобилиарная фаза | Отсутствует | Есть: через 20 минут контрастное вещество видно в клетках печени и желчных протоках |
| Диагностика при циррозе | Менее точная, ранние узлы могут быть неразличимы | Ранняя диагностика гепатоцеллюлярной карциномы (ГЦК) |
| Планирование операции | Возможно, но с ограничениями | Максимальная точность для выбора тактики хирургии или терапии |
| Сравнение с другими методами | Уступает ПЭТ-КТ при метастазах | Превосходит даже ПЭТ-КТ в ряде случаев |
Было проведено исследование с участием 83 пациентов с метастазами печени, выявленными на КТ. Всем им дополнительно выполнили МРТ с Примовистом (P-MRI) и сравнили планы лечения до и после обследования.
Результаты:
- у 18 % пациентов полностью изменился план терапии;
- у 20 % скорректирован объём вмешательства;
- в целом у 38 % тактика лечения была пересмотрена;
- точность планов на основе P-MRI составила 93 %, против 75 % при использовании только КТ.
МРТ печени с контрастом Primovist — это не просто более точная диагностика, а реальный инструмент, влияющий на лечение.
Метод помогает:
- Избежать ненужных вмешательств благодаря более детальной визуализации и точной дифференцировке очагов.
- Сразу выбрать оптимальную стратегию терапии, минимизируя повторные процедуры.
- Улучшить подготовку к операции — хирург заранее получает максимально точную картину и снижает риск неожиданных находок в процессе вмешательства.
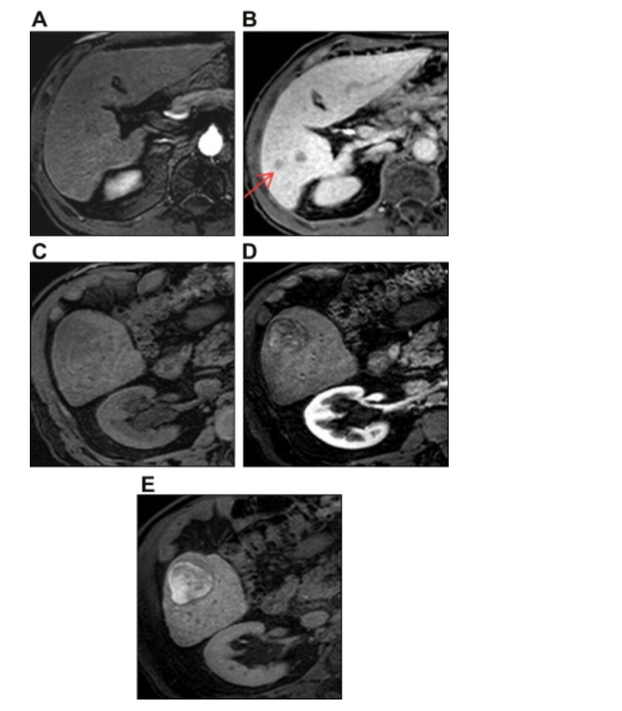
МР-изображения печени с контрастированием GD-EOB-DTPA у двух пациентов с гепатоцеллюлярной карциномой (ГЦК).
(A) У первого пациента очаг не определяется в артериальную фазу при МРТ с GD-EOB-DTPA из-за отсутствия гиперваскуляризации в небольшой ГЦК.
(B) Две небольшие ГЦК (стрелка) визуализируются как гипоинтенсивные узлы в правой доле печени в гепатобилиарную фазу.
(C) У другого пациента ГЦК правой доли печени выглядит изоинтенсивной по отношению к печени на неусиленном Т1-взвешенном изображении.
(D) Прогрессирующая ГЦК гиперваскулярна в артериальную фазу.
(E) Опухоль становится гиперинтенсивной в гепатобилиарную фазу при МРТ с контрастированием GD-EOB-DTPA.
— Почему вы рады, что этот метод теперь доступен в МЦ «Магнетика» ?
— Потому что это диагностика мирового уровня, которая теперь доступна нашим пациентам прямо в Екатеринбурге. В России метод МРТ печени с гепатоспецифическим контрастом Примовист® пока доступен лишь в ограниченном числе клиник — преимущественно в федеральных центрах и некоторых государственных учреждениях. В нашем регионе такие исследования выполняются единично, и мы гордимся, что в МЦ «Магнетика» пациенты могут пройти эту диагностику.
В нашем центре МРТ с Примовистом проводится на современном оборудовании, а результаты анализируются опытными рентгенологами. Этот метод становится незаменимым инструментом в ситуациях, когда точность диагноза напрямую влияет на выбор лечения и прогноз для пациента.
— Если бы нужно было объяснить простыми словами пациенту: «Почему стоит выбрать именно это обследование?» — что бы вы сказали?
— Я бы сравнил так: обычное МРТ показывает печень как фото города сверху — видно улицы и дома. А МРТ с Примовистом позволяет «зайти внутрь домов» и увидеть, что происходит внутри. Благодаря этому мы можем заметить изменения на самой ранней стадии и выбрать лучшее лечение.
