МРТ головного мозга. В указанную стоимость входит проведение сканирования, описание результатов исследования на фирменном бланке, выдача результатов МРТ в полном объёме на компакт диске (CD) или в виде жёсткой копии на плёнке. При желании вы можете заказать большее количество носителей.
Для посещения необходима предварительная запись. Запишитесь на прием по телефону 8 (800) 333-40-66 (звонок бесплатный) или через форму на сайте «Запись онлайн».
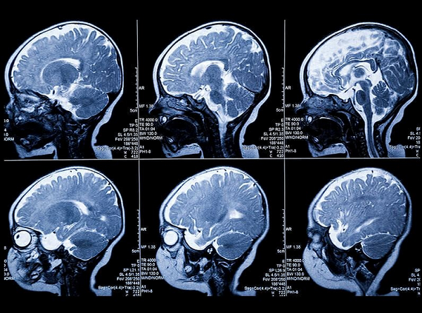
МРТ с эпилептическим протоколом – это высокоточное исследование, направленное на диагностику патологий головного мозга, связанных с эпилепсией. Процедура позволяет выявить структурные изменения, которые могут быть причиной судорожной активности.
Показания к проведению МРТ головного мозга с эпи-протоколом
- Подозрение на эпилепсию или уточнение диагноза.
- Подготовка к хирургическому лечению эпилепсии.
- Выявление структурных изменений головного мозга (опухоли, кисты, пороки развития).
- Наличие в анамнезе судорожных приступов неясной природы.
- Контроль состояния после проведенного лечения эпилепсии.
Абсолютные противопоказания:
- Кардиостимулятор.
- Встроенные слуховые аппараты.
- Металлические магнитящиеся импланты и предметы в теле.
- Инсулиновая помпа.
Относительные противопоказания:
- Брекеты (только при исследовании головы).
- Вес пациента:
Более 140 кг — для МРТ открытого типа.
- Окружность тела:
Более 160 см — для МРТ открытого типа.
- Обширные татуировки (особенно с использованием металлических красителей).
- Клаустрофобия (в некоторых случаях мы рекомендуем проведение МРТ открытого типа PHILIPS PANORAMA HFO в нашем центре).
- Сосудистые клипсы и стенты: в течение первых 6-8 недель после установки. Установленные до 2010 года (проверяется совместимость на основании медицинской документации).
- Беременность (I триместр).
- Тяжёлое состояние пациента, требующее реанимационных мероприятий.
Перед проведением исследования необходимо проконсультироваться с врачом и предоставить всю необходимую медицинскую документацию.
Подготовка к исследованию МРТ:
Специальная подготовка к исследованию не требуется. Перед началом процедуры необходимо:
- Снять металлические украшения.
- Снять съемные зубные протезы (если имеются).
- При наличии макияжа удалить его перед обследованием. В нашем центре предоставляются все необходимые средства для демакияжа, которые вы можете использовать перед процедурой.
- Уведомить врача о наличии имплантатов или других факторов, которые могут быть противопоказаниями.
Что взять с собой:
- Паспорт, предыдущие исследования данной области, рекомендации, направление, документ, подтверждающий льготы (ветеран ВОВ, ветеран труда, инвалид 1-2 групп, мед.работник, пенсионер, почетный донор).
- При наличии в теле имплантов (кроме зубных), стентов, клипс и других инородных медицинских предметов необходимы документы об операции.
Выдача результатов диагностики
- Заключение врача-рентгенолога предоставляется в течение 2 часов (при необходимости срочной интерпретации – в течение 1 часа, по согласованию). Само исследование занимает от 30 до 60 минут. Результаты МРТ в соответствии с приказом МЗ РФ от 09 июня 2020г. №560н. по результатам рентгенологического исследования в течение 24 часов составляется Протокол по форме согласно приложению №34 к настоящим правилам. Но как правило результаты готовы в течение рабочего дня и быстрее.
- Однако, в случае сложных клинических ситуаций, когда требуется консультация нескольких специалистов, процесс может занять больше времени. Это связано с необходимостью более тщательного анализа и согласования мнений различных врачей для точного установления диагноза.

